列表
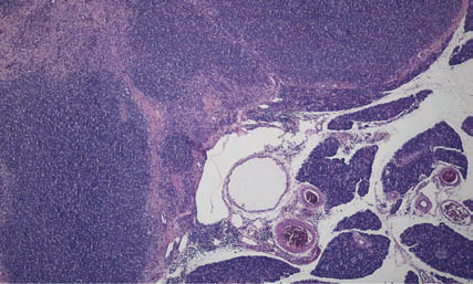
(2013)犬猫胰腺外分泌疾病
胰腺在多种至关重要的代谢功能中担负着重要的角色。胰腺外分泌部会分泌消化酶,在营养成分的利用过程中必不可少。胰腺外分泌部的炎症和退行性病变在犬猫也十分重要。
(2011)甲状腺实验室检查判读指南
如果怀疑甲状腺疾病,检测甲状腺激素水平可以确诊。每位兽医对于首先检测哪些指标可能有不同选择,很大程度上也取决于临床症状、动物年龄以及继发疾病。
(2008)犬库兴氏综合征
犬库兴氏综合征具有多种多样的临床表现。通常可以根据临床检查结果,怀疑动物患有库兴氏综合征。患犬表现出本病的临床症状:肥胖、多尿、多饮、多食、皮肤变薄、皮肤钙质沉着、气喘加剧和肌肉萎缩。
(2012)抗缪勒氏管激素(Anti-Mullerian Hormone)
抗缪勒氏管激素(AMH)是在胚胎形成时期性别分化过程中起到重要作用的一种糖蛋白。